To enable surgical teams to focus on treating patients, we keep advanced image guidance as easy and effective as we possibly can. The unlimited system flexibility enables your preferred way of working with free positioning at the head end. Our dedicated neuro tools put you in firm control during each step of a procedure as you decide, guide, treat and confirm results.
Philips image-guided therapy offers the Neurovascular suite with a flexible portfolio of integrated technologies, services, and neuro accessories that puts you in firm control.
Click here to learn moreSolutions for Spine procedures that offer advanced real-time image guidance with exceptional workflow flexibility for the hybrid OR, that enables you to perform fast, accurate, and simplified procedures. Offered by Philips image-guided therapy.
Click here to learn more
This ceiling-mounted system provides exceptional positioning freedom for medical teams. Unlimited imaging flexibility allows you to perform procedures from any position around the table including head end. Seamlessly control all relevant applications from a single touch screen at table side, to help make fast, informed decisions in the sterile field. By working around you, Philips Azurion with FlexArm helps you advance your performance and deliver superior care.

During neurosurgery, the goal is to see clearly, while managing safety for all involved. The industry leading Azurion 7 biplane X-ray system is designed to enhance treatment and support effective guidance as you work. The perfect fit design of the FD20/15 detector allows the 15” detector to be positioned close to the patient’s head, covering the head from cranium to cervical. Seamlessly control all relevant applications from a single touch screen at table side, to help make fast, informed decisions in the sterile field.

The SmartCT solution enriches our outstanding 3D interventional tools with clear guidance, designed to remove barriers to acquiring 3D images in the interventional lab. It simplifies 3D acquisition to empower all clinical users to easily perform 3D imaging, regardless of their experience1. Once acquired, 3D images are automatically displayed within seconds2 on the touch screen module in the corresponding rendering mode. On the same touch screen, the user can easily control and interact with advanced 3D visualization and measurement tools.

This X-ray acquisition technique generates a complete high-resolution 3D visualization of cerebral, cardiac, abdominal or peripheral vasculature from a single rotational angiography run – all controlled via the touch screen at the table. This can improve visibility of tortuous or complex anatomy.

SmartCT Soft Tissue offers a cone-beam CT (CBCT) acquisition technique augmented with step-by-step guidance. Advanced 3D visualization and measurement tools are all accessible on the touch screen module at table side. You are guided through key steps to support you in acquiring CBCT images first-time-right1 and to streamline your workflow.

SmartCT Vaso enables high-contrast and high-resolution imaging of cerebral vasculature based on a 3D rotational scan and an intra-arterial contrast injection. This technique enhances the visualization of endovascular stents, flow diverters, or other devices, as well as vessel morphology.

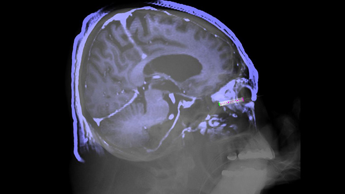
XperGuide offers live 3D image needle guidance, letting you bring percutaneous needle procedures into the Hybrid OR. It overlays live fluoroscopy and 3D soft tissue imaging data from previously acquired CT or MR scans or Philips XperCT, providing information on the needle path and target.

AneurysmFlow is designed to give you relevant information before and after flow diverter deployment. It visualizes and quantifies flow changes for greater confidence in procedural effectiveness.

SmartCT Roadmap facilitates complex interventions by providing live 3D image guidance that can be segmented to emphasize target vessel and lesions, aiding navigation through complex vessel structures. All controlled via the touch screen at the table.
Do you need imaging in a regular OR? With Philips Mobile C-arm Solutions, you can obtain sharp, detailed images quickly and easily, to support informed decisions during Orthopedics, Pain Management, Vascular and other surgical procedures in the OR.
Disclaimer Product availability is subject to country regulatory clearance. Please contact your local sales representative to check the availability in your country.
References
1 The user level of expertise required is described in the Instructions for Use as the Intended Operator Profile 2 3D reconstructions at higher resolution settings may take longer times.
You are now exiting the Philips United States (US) site and entering the Philips global site. This content is intended for a global audience. It may not apply to the US and should not be interpreted as meeting US standards, executive orders or regulations.
Continue