Our Vascular suite provides workflow options, dedicated interventional tools, and a broad selection of advanced vascular devices to improve procedural efficiency and redefine outcomes for your patients with aortic disease. They support each step of your procedure – as you decide, guide, treat and confirm treatment results.

SmartCT Soft Tissue is an X-ray acquisition technique that generates a CT-like visualization of soft tissue in relation to other structures during procedures – all controlled via the touch screen at the table. You can use the CT-like images to assess soft tissue, bone structure and stent deployment before, during and after interventional procedures. This technique is particularly useful to check for complications after (complex) EVAR procedures.

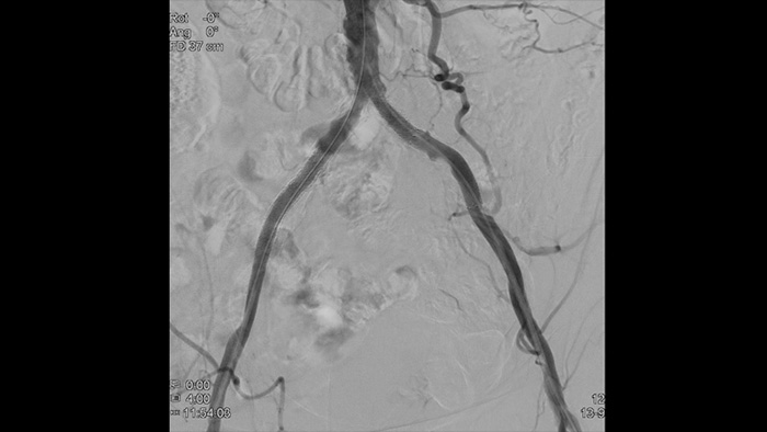
VesselNavigator provides an intuitive and continuous 3D roadmap based on existing CTA and MRA datasets to guide you through vasculature during aortic procedures. One study1 showed an average of 170 ml contrast reduction during endovascular repair of complex aortic aneurysms with the use of VesselNavigator CTA image fusion guidance.2 Another study showed a reduction in average procedure time from 6.3 to 5.2 (1.1) hours during FEVAR/BEVAR with VesselNavigator CTA image fusion guidance.3

A realistic visualization of arterial vasculature is required to effectively access the arterial system. Our integrated CX50 ultrasound system provides premium quality images of the radial artery and veins to support radial access interventions.
After one month of usage, we have passed the point where the clinical value of VesselNavigator outweighs the investment we made.”
Prof. Dr. F. Vermassen
University Hospital Ghent
This is just one of the many improvements in lab performance achieved by the Interventional Vascular Department at St. Antonius Hospital after installing the Azurion system. The first Azurion lab performance study achieved impressive results which have been verified by an independent third party.*


With Philips Azurion a breakthrough in workflow improvement has been realized, resulting in proven efficiency. With the ever growing number of patients with aortic disease, Azurion offers a number of workflow innovations designed to help vascular teams work efficiently and consistently, while maintaining a single-minded focus on the patient and managing radiation dose during interventions.

Intravascular ultrasound (IVUS) is a catheter-based imaging technology that allows physicians to visualize blood vessels from the inside out to aid assessment of presence and extent of disease. IVUS helps to decide, guide and confirm the right interventional treatment for each patient.

Visualizes high-definition images of vessels with outstanding vascular detail to support precise treatment strategies, navigation and follow-up.

This unique innovation, exclusive to Philips, enables real-time, 3D visualization of devices* inside the body. Using the wonders of light.
*The FORS-enabled guidewire as well as compatible endovascular catheters.
Solutions for peripheral arterial interventions (PAD) procedures offered by Philips image-guided therapy.
Click here to learn morePhilips’ portfolio includes advanced imaging and specialized treatment solutions for even the most difficult deep venous procedures.
Click here to learn more Disclaimer Product availability is subject to country regulatory clearance. Please contact your local sales representative to check the availability in your country. References * Results are specific to the institution, where they were obtained. Results in other institutions may vary.
You are now exiting the Philips United States (US) site and entering the Philips global site. This content is intended for a global audience. It may not apply to the US and should not be interpreted as meeting US standards, executive orders or regulations.
Continue