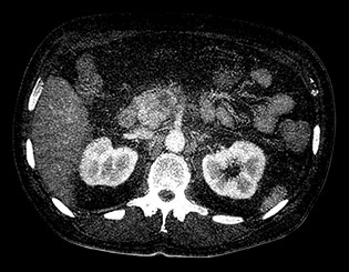
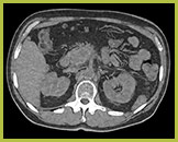
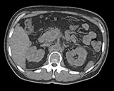
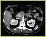
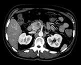
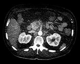
View an anatomical area using different spectral results.

Created by removing the iodine component from the image. Hounsfield Unit (HU) measurements from virtual non-contrast spectral results are comparable to true non-contrast scans for the majority of the organs, allowing VNC results to replace a true non-contrast scan.
You are now exiting the Philips United States (US) site and entering the Philips global site. This content is intended for a global audience. It may not apply to the US and should not be interpreted as meeting US standards, executive orders or regulations.
Continue