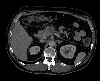
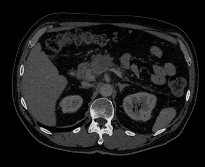
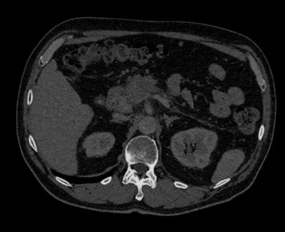
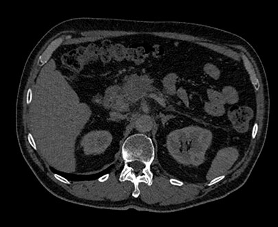
Click the energy level from 40 keV to 200 keV to view structures according to their spectral attenuation properties.












The MonoE view shows synthesized monoenergetic images at predefined keV values from 40 to 200. The appearance of the images changes as the keV values change, even when the window/level settings are unchanged. For example, at lower keV, iodine may appear brighter, and at higher keV, metal artifacts may be reduced.
You are now exiting the Philips United States (US) site and entering the Philips global site. This content is intended for a global audience. It may not apply to the US and should not be interpreted as meeting US standards, executive orders or regulations.
Continue