
Neuro headrest
Can be used to help reduce motion artefacts during the procedure.
Your ability to visualize the extremely complex pathologies of arteriovenous malformations (AVMs), fistula and other malformations is crucial in deciding whether to treat or monitor a patient. For decades, neuro specialists have relied on Philips sophisticated neuro imaging solutions to support confident planning and treatment decisions for AVM interventions. Now, as the field shifts towards medical monitoring of unruptured AVMs, the tools we offer can once again support you in making a difference in the lives of your patients.

During neuro interventions, the goal is to see clearly, while managing safety for all involved. Philips Neurovascular suite with Azurion biplane 7 with 20'' and 15'' detector X-ray system is designed to enhance treatment and support effective guidance as you work. Seamlessly control all compatible applications from a single touch screen at table side, to help make fast, informed decisions in the sterile field.

SmartCT enriches our outstanding 3D interventional tools with step by step guidance, designed to remove barriers to acquiring 3D images in the interventional lab. It simplifies 3D acquisition to empower clinical users* to easily perform 3D imaging.5 Once acquired, 3D images are automatically displayed within seconds** on the touch screen module in the corresponding rendering mode. On the same touch screen, the user can easily control and interact with advanced 3D visualization and measurement tools.

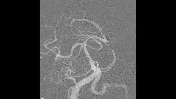
SmartCT Angio provides a volumetric view in a few seconds2 to assist assessment of feeding arteries, draining veins, arterialized veins, nidus and ruptured or unruptured pathology to guide decision making. 3D volumes are visualized with high spatial resolution and automatic patient movement compensation to enhance visibility of critical details.

SmartCT Vaso provides high resolution 3D imaging that reveals key information about cerebral vascular structures to support the highest possible spatial assessment of vessels in the soft tissue context.

SmartCT Roadmap overlays a 3D reconstruction of the vessel tree, vessel segments or annotations, acquired with a SmartCT acquisition mode on your Philips interventional X-ray system, with live fluoro images. It provides a full 3D view for guidewire and catheter navigation through complex vessel structures.

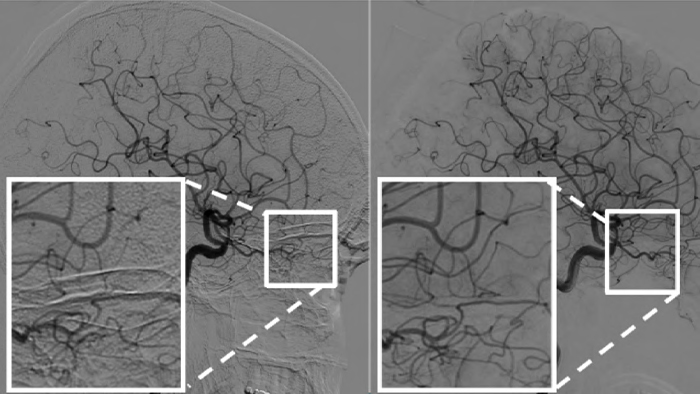
When you are monitoring AVMs over time, subtraction artifacts can disguise clinical information. Philips’ unique ClarityIQ automatic pixel shift helps remove information that may be misleading, in real-time and without user interaction.

During treatment, subtraction artifacts can obscure the direction liquid embolic agents are traveling. Using the automatic pixel shift in our ClarityIQ enables you to visualize the direction the liquid embolic agent is traveling and its arrival.

The Roadmap Pro glue mode filters out already embolized vessels, allowing you to focus on what you are injecting and how it is diffusing.

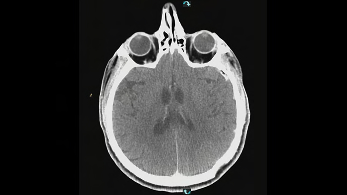
SmartCT Soft Tissue is an acquisition technique that generates a CT-like visualization of soft tissue in relation to other structures during procedures. You can use the CT-like images to assess soft tissue after an AVM to check the final result and potential bleedings when the patient is still on the table.
Azurion offers a number of workflow innovations designed to help staff work efficiently and easily, while maintaining a single-minded focus on the patient and managing radiation dose during AVM interventions.


Can be used to help reduce motion artefacts during the procedure.
You are now exiting the Philips United States (US) site and entering the Philips global site. This content is intended for a global audience. It may not apply to the US and should not be interpreted as meeting US standards, executive orders or regulations.
Continue
FlexVision Pro gives you full control of all connected applications, like the CX50x Matrix ultrasound and all interventional tools at tableside to save time and unnecessary walking in and out of the sterile area.
You are now exiting the Philips United States (US) site and entering the Philips global site. This content is intended for a global audience. It may not apply to the US and should not be interpreted as meeting US standards, executive orders or regulations.
Continue
Helps you reduce dose by positioning the system or table on Last Image Hold so you can prepare your next run without using fluoroscopy.
You are now exiting the Philips United States (US) site and entering the Philips global site. This content is intended for a global audience. It may not apply to the US and should not be interpreted as meeting US standards, executive orders or regulations.
Continue ClarityIQ provides high quality imaging for a comprehensive range of clinical procedures, achieving excellent visibility at low X-ray dose levels. In interventional neuro procedures, ClarityIQ technology reduces patient dose by 65% for the total procedure without affecting the procedural performance, compared to an Allura Xper system.1 1 In routine neuro endovascular procedures*, the AlluraClarity system with ClarityIQ technology may reduce patient dose (as dose-area product) by as much as 62% (in routine diagnostic neuro endovascular procedures) and as much as 65% (in routine interventional neuro endovascular procedures)** for the total procedure without affecting the procedural performance (fluoroscopy time and number of DSA images) as compared to equivalent procedures on an Allura Xper system, as demonstrated in one single-center study.*** *Routine neuro interventions comprise of DSA and fluoroscopy usage.** (95% CI 56%, 68% for routine diagnostic neuro endovascular procedures, 95% CI 58%, 71% for routine interventional neuro endovascular procedures). The results of the application of dose reduction techniques will vary depending on the clinical task, patient size, anatomical location and clinical practice. The interventional radiologist assisted by a physicist as necessary has to determine the appropriate settings for each specific clinical task. *** Results based on total dose area product from a single center retrospective historically controlled cohort study (Karolinska Hospital - Solna, Sweden) on 614 patients (302 for Allura Xper and 312 for AlluraClarity) undergoing neuro endovascular procedures. [Söderman M, Mauti M, Boon S, Omar A, Marteinsdóttir M, Andersson T, Holmin S, Hoornaert B. Radiation dose in neuroangiography using image noise reduction technology: a population study based on 614 patients. Neuroradiology. 2013; 55:1365-1372]
You are now exiting the Philips United States (US) site and entering the Philips global site. This content is intended for a global audience. It may not apply to the US and should not be interpreted as meeting US standards, executive orders or regulations.
Continue
Gives you direct access and full control of pre-operative diagnostic scans, patient information, planning tools, at table side to save time and unnecessary walking in and out of the sterile area. Touch screen module Pro allows table side control of images and applications with tablet ease.
You are now exiting the Philips United States (US) site and entering the Philips global site. This content is intended for a global audience. It may not apply to the US and should not be interpreted as meeting US standards, executive orders or regulations.
Continue
ClarityIQ provides high quality imaging for a comprehensive range of clinical procedures, achieving excellent visibility at low X-ray dose levels. In interventional neuro procedures, ClarityIQ technology reduces patient dose by 65% for the total procedure without affecting the procedural performance, compared to an Allura Xper system.1

Zero Dose Positioning helps you reduce dose by allowing you to pan the table, change table height or move the X-ray system on Last Image Hold to determine the new center position. This helps you prepare your next run without using fluoroscopy.

Gives you direct access and full control of pre-operative diagnostic scans, patient information and planning tools at table side to save time and unnecessary walking in and out of the sterile area.

ProcedureCards streamline and standardize system set-up and help reduce preparation errors. Select the AVM ProcedureCard and the system is set-up the way you want. Hospital specific aneurysm protocols and/or checklists can be added to ProcedureCards and displayed on monitors. One hospital reduced in-lab prep time supported by ProcedureCards.4

Can be used to restrain restless patients under conscious sedation to help reduce motion artifacts during the procedure.
Be ready to take on new challenges in ischemic stroke treatment.
Click here to learn moreSee clearly and navigate efficiently when treating cerebral aneurysms.
Click here to learn more Disclaimer Product availability is subject to country regulatory clearance. Please contact your local sales representative to check the availability in your country. References
*Routine neuro interventions comprise of DSA and fluoroscopy usage. ** (95% CI 56%, 68% for routine diagnostic neuro endovascular procedures, 95% CI 58%, 71% for routine interventional neuro endovascular procedures). The results of the application of dose reduction techniques will vary depending on the clinical task, patient size, anatomical location and clinical practice. The interventional radiologist assisted by a physicist as necessary has to determine the appropriate settings for each specific clinical task. *** Results based on total dose area product from a single center retrospective historically controlled cohort study (Karolinska Hospital - Solna, Sweden) on 614 patients (302 for Allura Xper and 312 for AlluraClarity) undergoing neuro endovascular procedures. [Söderman M, Mauti M, Boon S, Omar A, Marteinsdóttir M, Andersson T, Holmin S, Hoornaert B. Radiation dose in neuroangiography using image noise reduction technology: a population study based on 614 patients. Neuroradiology. 2013; 55:1365-1372]
*The user level of expertise required is described in the Instructions for Use as the Intended Operator Profile.
**3D reconstructions at higher resolution settings may take longer times.
You are now exiting the Philips United States (US) site and entering the Philips global site. This content is intended for a global audience. It may not apply to the US and should not be interpreted as meeting US standards, executive orders or regulations.
Continue