Ischemic stroke

Ischemic stroke treatment

Neurovascular icon

Be ready to take on new challenges in ischemic stroke treatment

 

We see a strong increase in thrombectomy interventions as a first line treatment for patients1 with ischemic stroke. There is also a shift from time-based to image-based patient selection in this area. Our Neurovascular suite has been developed to help to address these trends. It can support high levels of procedural efficiency and redefine outcomes for your stroke patients.

Highlighted products for this procedure

Azurion 7 B20/15

Azurion 7 B20/15 Image-guided therapy system

Biplane image-guided therapy system with one 20” frontal and one 15” lateral flat detector

See clearly while managing safety for all involved

Experience a simple, smooth clinical workflow with the dedicated neuro features

    Procedure cards

    ProcedureCards

    One hospital reduced in-lab prep time supported by ProcedureCards.2

    Help streamline and standardize system set-up

    Help reduce preparation errors

    SmartCT on Flexvision

    SmartCT

    SmartCT enriches our outstanding 3D interventional tools with step by step guidance, designed to remove barriers to acquiring 3D images in the interventional lab. It simplifies 3D acquisition to empower clinical users* to easily perform 3D imaging.3 Once acquired, 3D images are automatically displayed within seconds** on the touch screen module in the corresponding rendering mode. On the same touch screen, the user can easily control and interact with advanced 3D visualization and measurement tools.

    Clinical solutions for treating ischemic stroke

    Infographic image
    Three smart CTs

    CT-like visualization of soft tissue, bone and vascular structures.


    SmartCT Soft Tissue is an X-ray acquisition technique that generates a CT-like visualization of soft tissue in relation to other structures during procedures – all controlled via the touch screen at the table. You can use the CT-like imagesto assess soft tissue, bone structure and stent deployment before, during and after interventional procedures.

    SmartCT Vaso IV

    Enhance imaging of vessels and devices in the brain

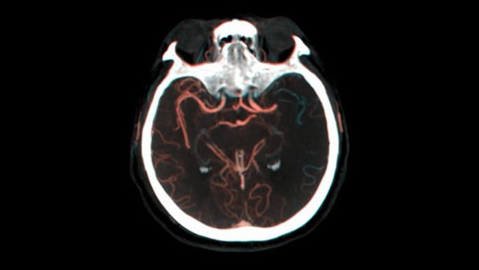
    SmartCT Vaso provides high resolution 3D imaging that reveals key information about cerebral vascular structures to support the highest possible spatial assessment of vessels in the soft tissue context.

    See collateral filling

    Visualization of collateral filling

    Dual View for viewing early and late phase Cone Beam CT volumes side by side enhances identification of penumbra and enables visualization of collateral filling.

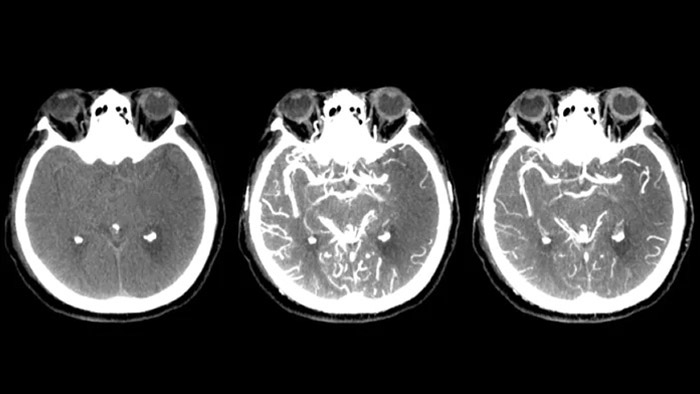
    Peri-procedure check of bleedings

    SmartCT soft tissue

    Use SmartCT Soft Tissue images in the neurovascular suite to help identify peri-procedural bleedings.

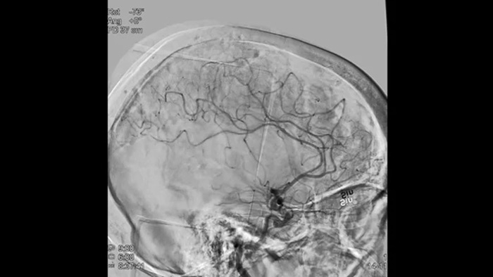
    Sharp images with 2D DSA with ClarityIQ technology

    2D DSA with ClarityIQ technology

    ClarityIQ applies Automatic Motion Compensation during real-time DSA to maintain sharp images of the vessels. This supports confident decision making throughout stroke procedures.

    Anatomical references support precise 3D navigation

    SmartCT Roadmap precise 3D navigation

    SmartCT Roadmap provides anatomical references to support navigation of guidewire, catheter and device to the clot.

    Confirm treatment success

    DSA visualization

    High quality DSA visualizations allow you to assess if you have retrieved the complete clot and if pieces of clot have been dispersed distally in the brain. You can check the restoration of blood flow to the penumbra and check for peri-procedure bleedings.

    Enhance visualization of vasculature

    Roadmap Pro

    Make informed decisions about whether the clot can be reached and which route to use. Roadmap Pro, an advanced double contrast roadmap, helps enhance visualization of overlapping vessels, while balancing radiation exposure.

    Workflow innovations for treating ischemic stroke


    Azurion offers a number of workflow innovations designed to help on-call staff work efficiently and easily, while maintaining a single-minded focus on the patient and manage radiation dose during acute ischemic stroke interventions.

    Azurion biplane neuro cerebral
    FlexVision Pro

    Full table side control saves time


    FlexVision Pro gives you direct access and full control of pre-operative diagnostic scans, patient information and planning tools at table side to save time and unnecessary walking in and out of the sterile area. Touch screen module Pro allows table side control of images and applications with tablet ease.

    Work together instantaneously

    Instant Parallel Working

    Instant Parallel Working allows team members to work on different tasks at the same time without interrupting each other to shorten procedure times for critical stroke patients.

    Full table side control saves time

    Azurion neuro headrest

    Can be used to restrain restless patients under conscious sedation to help reduce motion artifacts during the procedure.

    Integrated OR table for acute care

    Azurion with Getinge Magnus operating table

    The Getinge Magnus OR table can be used for emergency and trauma care. It is synchronized with Philips X-ray systems to take advantage of advanced Philips solutions.

    Azurion 7 M20 can simplify procedures

    Azurion 7 C20 in neurology

    Monoplane angio systems are increasingly being used as dedicated stroke systems or as back-up systems in interventional neuro departments along side a biplane system. The Azurion 7 M20 is compatible with all advanced neuro interventional tools.

    Faster stroke treatment.
    Improve outcomes.
     

    When it comes to acute stroke, everyone deserves the best care. Today, more patients can benefit from mechanical thrombectomy through changed guidelines, which widen the time window for endovascular treatment.  

    DTAS video

    Explore the various procedures in neurovascular image-guided therapy

    • Cerebral aneurysm treatment

      Cerebral aneurysm treatment

      See clearly and navigate efficiently when treating cerebral aneurysms.

      Click here to learn more
    • AVM treatment

      AVM treatment

      Philips sophisticated neurovascular imaging solutions support confident planning, medical monitoring and treatment decisions for AVM interventions.

      Click here to learn more

    Disclaimer

    Product availability is subject to country regulatory clearance. Please contact your local sales representative to check the availability in your country.

     

    References

    1.  www.mdedge.com/neurology/article/107506/stroke/stroke-centers-increase-and-refine-use-thrombectomy?sso=true
    2. In a simulation study with over 60 users globally, results obtained during user tests performed in the period of November 2015-February 2016. The tests were designed and supervised by Use-Lab GmbH, an independent and objective usability testing engineering consultancy and user interface design company. The tests involved 31 US-based clinicians (16 physicians and 15 technicians) and 30 European-based clinicians (15 physicians and 15 technologists), who performed procedures using Azurion in a simulated interventional lab environment. Results from case studies are not predictive of results in other cases. Results in other cases may vary.
    3. Evaluated with clinical users in a simulated lab environment with a total of 17 teams consisting of a physician and a radio-tech with different levels of experience.
      *The user level of expertise required is described in the Instructions for Use as the Intended Operator Profile.
      **3D reconstructions at higher resolution settings may take longer times

    Contact information

    * This field is mandatory

    *

    Contact details

    *
    *
    *

    Company details

    *
    *
    *

    *

    Contact information

    * This field is mandatory

    *
    *
    *
    *
    *
    *
    *
    *
    *

    By specifying your reason for contact we will be able to provide you with a better service.

    We work with partners and distributors who may contact you about this Philips product on our behalf.

    *
    *

    Final CEE consent

    You are now exiting the Philips United States (US) site and entering the Philips global site. This content is intended for a global audience. It may not apply to the US and should not be interpreted as meeting US standards, executive orders or regulations.

    Continue

    You are now exiting the Philips United States (US) site and entering the Philips global site. This content is intended for a global audience. It may not apply to the US and should not be interpreted as meeting US standards, executive orders or regulations.

    Continue

    Our site can best be viewed with the latest version of Microsoft Edge, Google Chrome or Firefox.