To illustrate the power of spectral-detector CT, we present two hypothetical patients with identical health profiles, both complaining of abdominal pain. Their doctors schedule CT scans to learn more. One patient undergoes a conventional CT scan, while the other has a spectral-detector CT scan. The process is the same for both patients, and the workflow is nearly identical for the hospital staff.
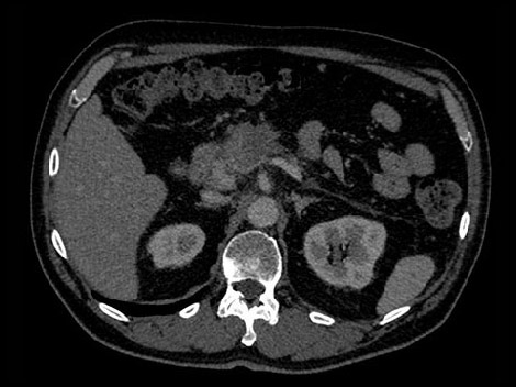
Age: 51 Height: 6'0" Weight: 175 lbs Abdominal CTA scan with a 70-second contrast injection delay
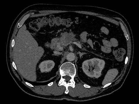
Age: 50 Height: 5'11" Weight: 165 lbs Abdominal CTA scan with a 70-second contrast injection delay


In this hypothetical example, the radiologists need more information about a visible mass in the pancreas in order make a confident diagnosis.
With a traditional CT, if the image is inconclusive, the patient may be asked to return for an additional scan.

Unlike traditional CT images, spectral-detector CT images capture spectral information 100% of the time —without special planning or set-up. That means you can analyze the spectral data in any image retrospectively, using a variety of spectral viewing tools. You can, for example, adjust the monoenergetic level or get Zeffective maps. Try it yourself below.
Spectral-detector simultaneously absorbs and differentiates high and low energy from a single polyenergetic X-ray beam. Spectral results are acquired within a single scan without the need for special modes.
Spectral Results Anytime, Anywhere. Single DICOM entity contains sufficient information for retrospective analysis.
Detector-based spectral CT simultaneously absorbs and differentiates high and low energy, in a single polyenergetic X-ray beam at the detector level.
Please contact us for more information about spectral-detector-CT.

You are now exiting the Philips United States (US) site and entering the Philips global site. This content is intended for a global audience. It may not apply to the US and should not be interpreted as meeting US standards, executive orders or regulations.
Continue